نشرت اليوم اكثر صورة أشعة مرعبة التقطت لقدم طالب مدرسة، حاول القفز من فوق سياج صدئ، لكنه، اخطأ في تقدير المسافة ودخل السياج على شكل "أسياخ" في رجله. إذ حاول الطالب المحب لكرة القدم بن إدواردس (12 عاما)، ان يقفز عاليا من فوق السياج لكنه هبط عليه وبقي معلقا فيه ورأسه عند الارض ورجلاه في الحديد في عذاب وألم.

الفتى بن والحديد الصدئ الذي غرز في رجله!
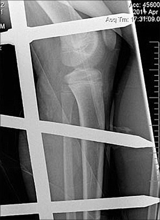
إضطر رجال الاطفاء والانقاذ الى قطع السياج وقصه، لنقل الفتى الى المستشفى، وهنالك، تم تصوير رجله اليسرى بالاشعة والحديد الصدئ ما زال فيها، ثم تم إخضاعه لعملية جراحية لإزالة القضبان من رجله.
من الجدير بالذكر ان الحادثة وقعت في التاسع من نيسان، وبعد مرور شهر، أي اليوم، عاد الفتى الى المدرسة معافى، وفضل والدا بن ان ينشرا صورة الاشعة لرجله، وذلك بهدف تكثيف التوعية للجيل الشاب، بأن يتوخوا الحذر أكثر، وليأخذوا تجربة بن كعبرة، شاكرين الله ان ابنهم نجا من هذه الحادثة الاليمة بأعجوبة.
وقالت والدة بن، ليندا إدواردس: "بن فتى محظوظ، فكان من الممكن ان يكون وضع رجله أسوأ بكثير، وكان من الممكن أن يسبب له هذا الحديد الصدئ مشاكل في العظام والقدرة على المشي" وتابعت: "نحن الان نطلب من بن ان يهدأ قليلا، فأنه لطالما كان متهورا أينما كان".


