أطلق اللصوص رصاصتين على بهارات شارما، أثناء سرقتهم لمصرف محلي شرقي الهند، وبعد شهرين أجرى عملية جراحية استغرقت 3 ساعات لإزالة الرصاصة. ويمكث شارما في وحدة الرعاية المكثفة في مستشفى "سال" في أحمد أباد، حالياً بانتظار الشفاء الكامل من آثار العملية الجراحية، وحالته تتحسن بصورة جيدة وفقاً لما ذكره الأطباء.
وقالت صحيفة "تايمز أوف إنديا" إن اللصوص أطلقوا رصاصتين على شارما، البالغ من العمر 32 عاماً، في يوليو الماضي أثناء سرقتهم لبنك في ولاية براديش العليا، شرقي البلاد.

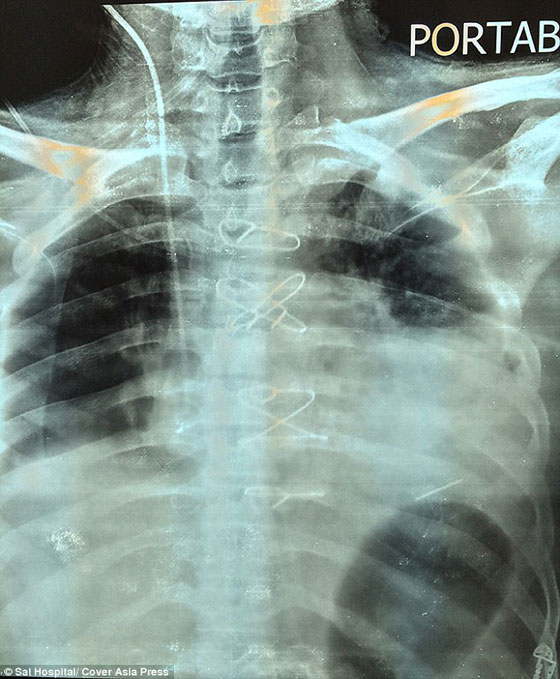
بعد شهرين أجرى عملية جراحية استغرقت 3 ساعات لإزالة الرصاصة
وأدخل شارما إلى المستشفى لإزالة رصاصة من خاصرته، واعترض على الأطباء الذين رأوا أنه من الضروري إزالة الرصاصة في قلبه أولاً، على اعتبار أنه قد يفقد حياته إذا ما أجرى عملية إزالة الرصاصة من القلب.
غير أن شارما اضطر الثلاثاء إلى السفر إلى أحمد أباد غربي الهند للخضوع لعملية جراحية لإزالة الرصاصة من قلبه في مستشفى سال الخاص. وكانت العملية معقدة للغاية جراء استقرار الرصاصة في الجزء الأسفل من القلب، بالقرب من البطين الأيسر، بحسب ما نقلت صحيفة الغارديان البريطانية.

الجراح: "الكثير من الدم بعد الحادث، كان لزاماً علينا أن نكون حذرين للغاية"
وأكد الجراح في مستشفى سال، أنيل جاين، أن العملية الجراحية استغرقت زهاء 3 ساعات لإزالة الرصاصة، موضحاً أنها "استقرت بشكل أفقي بين الصمامين". وأضاف: "ولأن المريض فقد الكثير من الدم بعد الحادث، كان لزاماً علينا أن نكون حذرين للغاية، أما كيف عاش المريض لهذه الفترة ووصل إلينا فكله محض قدر". وقال الجراح إن شارما سيتمكن من العودة إلى العمل في غضون شهر، وهو يرقد حالياً في وحدة الرعاية المكثفة في المستشفى.



