أثناء تناول وجبة طعام لعائلة مكونة من أب وأم وابنهما الرضيع البالغ من العمر عاما واحدا في منزلهما بمدينة تشاويانج في الصين تعرض طفلهما لحادث بشع بعد أن سقط على الأرض وتمكن أحد الأعواد التي يستخدمها الصينيون في تناول الطعام من اختراق رأسه.
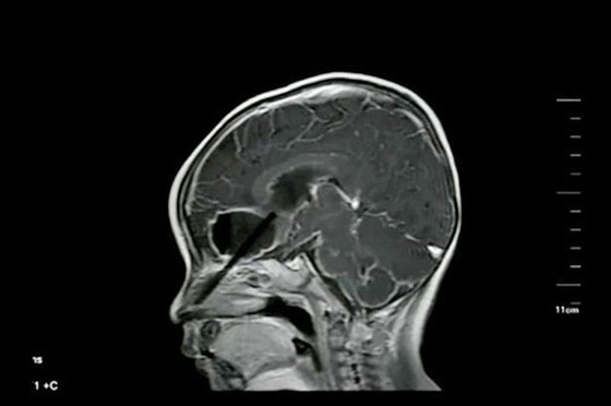
ووفقًا لموقع ميرور، أسرع الأب والأم في نقل الطفل إلى المستشفى وتمكن الأطباء من إزالته وتنظيف الجرح، لكن بعد نحو 10 أيام ظهرت علامات النعاس على الطفل وبدأ في التقيأ وتم نقله مرة أخرى إلى المستشفى وبعد إجراء الأشعة السينية تفاجأ الأطباء عندما وجدوا نحو 6 سنتيمتر من العصا ما زال بداخل رأسه.
وقالت الأم: إنها قامت برمى جميع عيدان الأكل الموجودة بالمنزل بعد زيارتها الأولى للمستشفى خوفًا من تكرار الحادث مرة أخرى لكنها لم تدرك أن ما زال هناك جزء متبقيا بداخل رأس طفلها الصغير.وذكرت التقارير الطبية أنه بمجرد إزالة الجزء المتبقى تحسنت حالة الطفل على الفور ولن يؤثر الحادث على حركات الجسم أو القدرة اللغوية لكنه سيبقى في المستشفى لعدة أيام حتى يتماثل للشفاء.

