أُدخلت الكثير من الحالات الحرجة إلى المستشفيات حول العالم، تعجّب الأطباء أمامها كونها غريبة من نوعها. فتارة يستخرجون من معدة رجل هندي 40 سكيناً معدنياً كونه يعاني من إدمان على تناول "الأسلحة البيضاء"، وتارة أخرى يجدون 25 يد ملعقة و30 برغياً في معدة شاب فلسطيني من قطاع غزة، بعدما اشتكى من آلام في البطن وتقيؤ دموي.
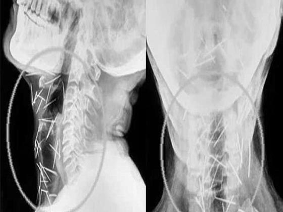
أما آخر حالة حيّرت الأطباء لدى عثورهم على عشرات الدبابيس المغروزة في مختلف أنحاء جسد رجل لا يعرف كيف وصلت هناك! واضطر الهندي بدريلال مينا، البالغ من العمر 56 عاماً، إلى زيارة ستة مستشفيات والخضوع لثلاث عمليات جراحية لاستخراج الدبابيس المغروزة في ذراعيه وقدميه وعنقه. ووفقاً لتقارير الأطباء، أزيل حتى الآن 91 دبوساً، وكان بعضها صدئاً جداً لوجوده هناك لأكثر من ستة أشهر.
.jpg)
ويقول الدكتور لاليت موهان باراشار، الذي أجرى العملية لمينا، "كان إخراجُ الدبابيس بأمان أمراً في غاية الصعوبة، حيث إن بعض الدبابيس كان موجوداً في القصبة الهوائية، والمريء، وحتى في الشريان السباتي الذي يحمل الأكسجين إلى الدماغ". لكن مينا يُصرّ على أنه لم يغرزها بنفسه، ويدعي أنه ليس لديه فكرة عن كيفية دخولها إلى جسده. وكان مينا في بداية الأمر، قد ذهب إلى مستشفى خاص وهو يشكو من آلامٍ في القدم ومن داء السكري؛ ولكن الأطباء وجدوا 75 دبوساً في أجزاء مختلفة من جسده، فيما وجد المعهد الآسيوي للعلوم الطبية في فريداباد (AIMS) - الذي تبنى حالة مينا- 75 دبوساً آخر. ويوضح المعهد أن المهمة الأكثر صعوبة هي "إزالة تلك الدبابيس التي اخترقت الأعصاب الحيوية والشرايين والأعضاء، مثل المريء والشريان السباتي الذي يزود الدم بالدماغ". وأذهل ازدياد عدد الدبابيس الأطباء، لا سيما وأن مينا يُصرُّ هو وأسرتُه على أنه لم يغرز نفسه بهذه الدبابيس، فيما أوصت سلطات المستشفيات بإجراء تقييم نفسي له بعد تعافيه.
.jpg)
.jpg)
.jpg)
.jpg)
.jpg)
.jpg)
.jpg)
.jpg)
.jpg)