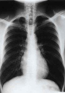
عندما يصاب احد اعضاء الجسم بخلل ما ويضطر الانسان الى زراعة عضو معين من انسان آخر، يتوقع ان العضو "الجديد" سليم، لكن هذا ليس دائما. حيث توفيت امرأة بريطانية في الثامنة والعشرين من عمرها بعد خمسة شهور من عملية زرع رئة لها كانت ملكاً لرجل كان يدخن على مدى 30 عاماً قبل وفاته.
واشتكت عائلة ليندسي سكوت أن الأطباء لم يبلغوها مسبقاً بان من منحها رئته كان يدخن بشراهة. وقد ارسلت الى منزلها بعد عملية جراحية لزرع الرئة على الرغم من أنها ابقيت في غرفة الانعاش لمدة ستة أسابيع. وقالت العائلة ان ليندسي كانت من أشد المتحمسين لمنع التدخين في الأماكن العامة، وعندما طرح الأمر أمام مجلس العموم وشاركت في التظاهرات التي ضغطت على النواب لإقرار الحظر.
