أي مبلغ كنت مستعد أن تدفع مقابل صدر النجمة الأمريكية الراحلة مارلين مونرو؟ هذا السؤال مطروح اليوم في المزاد العلني. منذ 56 سنة، دخلت ملكة الإغراء الأمريكية الراحلة، مارلين مونرو، إلى ما كان اسمه في ذلك الوقت "مستشفى أرز لبنان" الذي اعتادت التردد عليه في لوس أنجلس كلما ألمت بها محن صحية، وهناك أجروا لها عملية جراحية بسيطة في الرحم سبقها كشف عام أجراه عليها طبيب اعتمد فيما اعتمد بفحوصاته على صورة بالأشعة التقطت هناك لصدرها الذي كان أحد أسباب تربعها على عرش الإغراء العالمي منذ بدأ نجمها الفني يلمع وهي ما زالت في سن المراهقة.
|
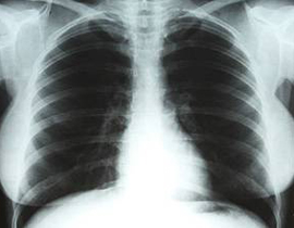
لن تباع الصورة بأكثر من ألف و200 دولار |
لكن الطبيب المجهول الاسم رغب بأن يحمل معه من "مستشفى أرز لبنان" بعض ما يملأ به حقيبة ذكرياته فيه بعد التقاعد، فاختار بعض الأغراض، ومنها صورة الصدر الشهير التي اعتاد أن يعرضها على طلابه في صف طبي كان يعطي فيه دروسا بإحدى الجامعات، ثم احتفظ بها حتى أهداها لابنته التي قررت منذ أشهر بيعها بالمزاد لظنها بأن المتنافسين سيدفعون الغالي لاقتناء الصورة الوحيدة بالأشعة للنجمة الأشهر في التاريخ الأميركي.
لكن "دار جوليان للمزادات" أخبرتها بأنها لن تباع بأكثر من ألف و200 دولار، وفق دراسة للسوق أجرتها عليها وعلى أغراض ومقتنيات أخرى تخص النجمة الشهيرة، وجميعها ستطرحه في أواخر حزيران (يونيو) المقبل في حفل يتخلله مزاد علني بمنتجع "بلانيت هوليوود" الشهير في مدينة لاس فيغاس، وهو ثالث مزاد تباع فيه مقتنيات وأغراض تخص مونرو، بعد الأول الذي جمع أكثر من 13 مليون دولار في 1999 والثاني الذي تلاه في 2005 من دون أن يصل الى أرقام مرضية.
وتبدو مونرو عبر الصورة وقد وضعت يديها على خصريها وهي في حالة وقوف وملتصقة الصدر بلوح معدني تسربت منه أشعة إكس من جهاز عكس في الصورة التفاصيل الصحية لصدرها وبعض بطنها، مع أن العملية كانت لازالة ما كان يسبب لها آلاما في الرحم، وفق المنشور عن الصورة في كاتالوغ توصيفها للراغبين بشرائها عبر المزاد.


















